Dental Implants

What is a Dental Implant?

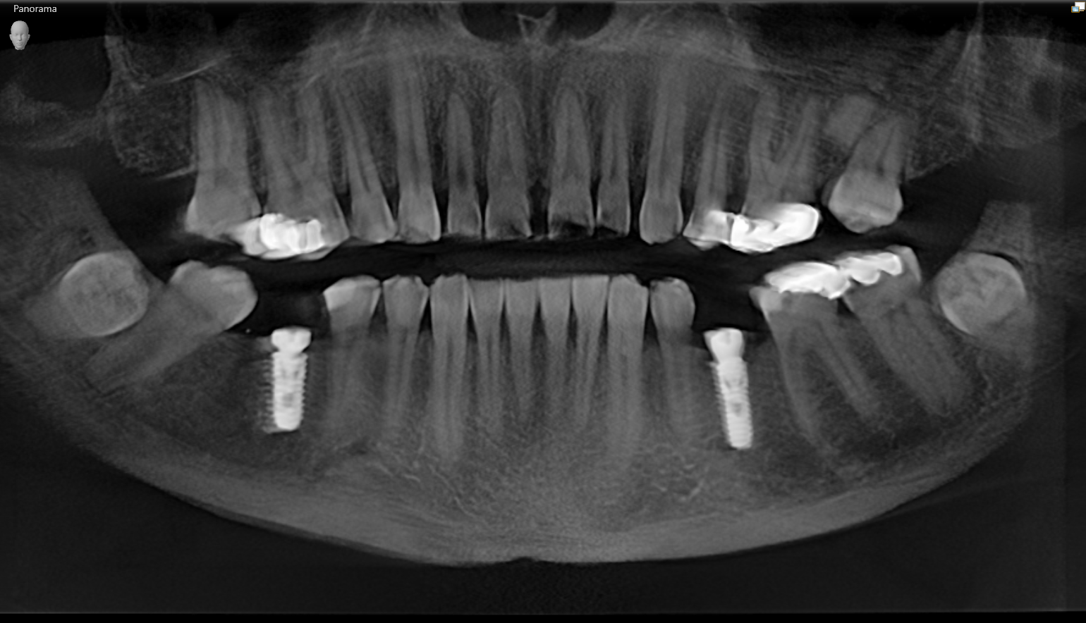
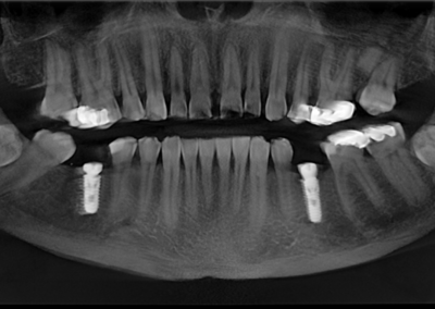
Dental implants are lasting, stable tooth replacements that can be used to replace one missing tooth, several missing teeth or complete arches of teeth. The dental implant post, which is a screw made of titanium, is surgically placed in the jawbone at the site of the missing tooth.The dental implant provides the support for a dental crown, a dental bridge or a denture.
Implant-supported replacement teeth function and look very much like real teeth. Dental implants are by far the most durable, long-lasting and most aesthetic of all tooth replacement options.

Dental Implant Procedure

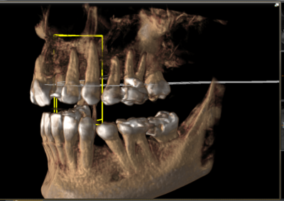
Examination, CBCT & Cerec Scans

We start with a comprehensive full mouth examination, digital X-rays, a dental 3D(CBCT) scan and Trios5 Scan. The scanned images provide high-resolution images in a three dimensional plane. We use these images and scans for precise treatment planning.

CBCT 3D Scan

Planning the procedure

Using the 3D images in special planning software, the Dentist maps out the exact position and angle of insertion of each implant. They take care to place implants where they will be stable and in the best position to support the replacement teeth. They will also plan out any bone grafting (if needed) to ensure the implants have strong bone support.

Surgical Guides to Ensure Accuracy of Placement

We manufacture and use a surgical guide to aid in efficient, accurate and minimally invasive implant placement. A surgical guide is a template that fits over the dental arch and marks exactly where and at what angle to place each implant.

 

The Surgery

The next step of the dental implants process is oral surgery, making small incisions into your gums and surgically place the dental implants. During this surgery, the dental implants will be rooted into place in the tooth gap. Following the surgery, a temporary replacement will be given such as a suck down splint or if you already have a partial plate to use. It’s important that patients follow our guide for post-operative care once the dental implant is in place.

The Healing Period

The most crucial step of getting the dental implants is the recovery period. During this 4-6 month period, the implants will fuse directly to the jawbone becoming one with the gum tissue and bone structure of your mouth, called osseointegration. This will allow the implant to become anchored and improve the stability for dental restorations.

Having an implant placed is a surgical procedure. And for that reason a local anesthetic is used and sedation is advised.

To find out more about Conscious Sedation

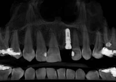
Abutment Placement

The second stage of surgical treatment is done 3 to 6 months after the implants have been placed. Implants are examined to be certain of their firmness and integration with the bone. A small connector will be attached to the implant, which will be used to attach a restoration on extension posts, or abutments.The abutment serves as the base for your new tooth.

Attachment of Restoration

One this is placed an impression of the abutment is taken and is used to create your permanent restoration. Some we are able to create the crown at the practice, but others will have to send it to an outside lab. Once the restoration is completed you can return to the office to attach the restoration permanently. Your smile will look just like it used to, and after a short period of getting used to the implant it will feel just like one of your own teeth.

 

Want more information?

If you have any further questions or queries, don’t hesitate to contact us.

Phone - 021 028 27556
Email - [email protected]
We are open Mon-Fri 8am-5pm.
Ample free parking
Wheelchair/scooter friendly access

We are members of the NZDA. New Zealand Dental Association, the professional association for New Zealand dentists.
As well as providing services for its members,, the NZDA is the one body able to speak on behalf of NZ dentistry as a whole.

We are very proud supporters of St John New Zealand, who provide an amazing service to our community.